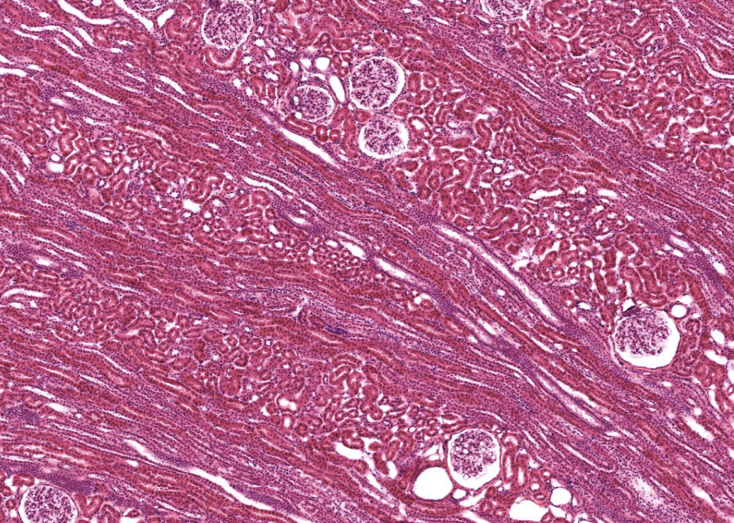
Kännetecken Ser ut som tuber som går mellan bark och märg. Namnet är lite missvisande då de ligger i barken, inte i märgen. Vanliga lokaler I barken mellan kapsel och märgen. Funktion Leder primärurin genom tubuli från barkens Nefron mot märgen. Relaterat Njurbark Njurmärg Nefron