sv: ductus deferens
en: vas deferens

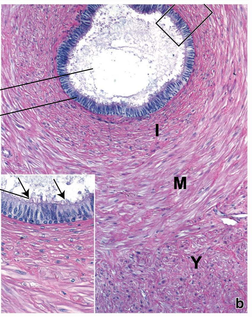
- Välutvecklad muskulär vägg: inre longitudinellt (L), mellersta cirkulärt (C) och yttre longitudinellt (L) glatt muskulaturlager → kraftiga peristaltiska kontraktioner vid emission.
- Mucosa med flerradigt cylinderepitel och korta stereocilier; lumen ser stjärnformigt ut p.g.a. längsgående veck som tillåter expansion.
- Lamina propria rik på elastiska fibrer; saknar egentlig submukosa.
- Ampulla deferentis (intraabdominellt segment) har bredare lumen, mer körtellika invaginationer och lagrar spermier före ejakulation.
- Kliniskt: vid vasektomi delas och ligeras ductus deferens; proximala segmentet kan dilatera och bilda spermatocele om ej kvarvarande passage.