
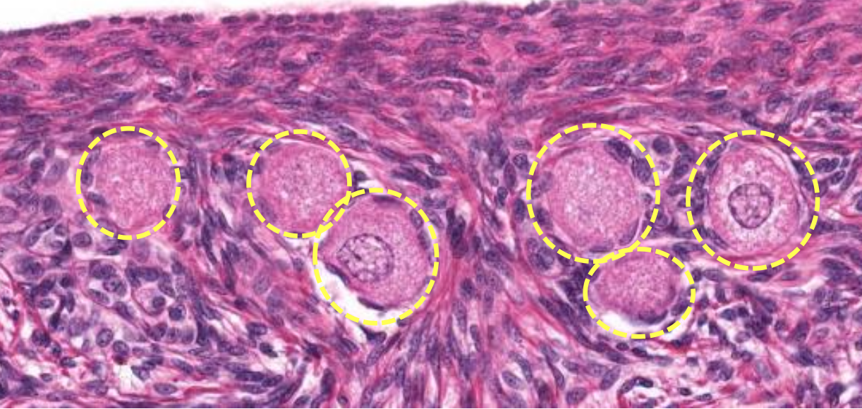
Första fasen i follikelutvecklingen. Oocyten omges av ett enskiktat, platt follikelcellslager. Oocyten befinner sig i meiosens profas I (vilande stadium). Den är den största cellen i kroppen, mycket större än omgivande celler. I cytoplasman syns ofta en Balbianikropp, en ansamling av organeller.