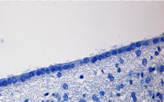
Definition Enskiktat kubiskt/cylindriskt epitel som bekläder ventrikelsystemet och ryggmärgskanalen; ofta cilierat och med mikrovilli. Funktion Cirkulation och modifiering av cerebrospinalvätska (CSF). Relaterat Kapitel 3 – Epitel