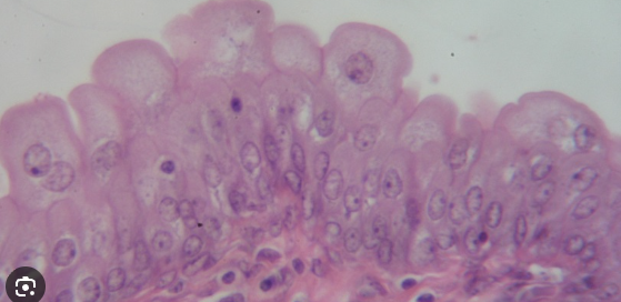
Kännetecken

  • Flerskiktat med paraplyceller apikalt; varierar i tjocklek beroende på uttänjning.

Vanliga lokaler

  • Urinvägar: njurbäcken, ureter, urinblåsa, proximala uretra.

Funktion

  • Sträckbar barriär som tål urinens miljö.

Relaterat